矯正歯科治療は成長期の子供さんだけが治療対象であるという旧来の認識をお持ちの方が今でもおられますが、成人になってからも全くあきらめる必要はありません。
また、下記にてご紹介する矯正装置により、目立ちにくい矯正治療を行うことができます。どの矯正装置を使用するかは、上の歯並び、下の歯並びで各々お選び頂けますので、目立つ上顎のみ舌側でということも可能です。
リンガルブラケット矯正装置
周囲から気付かれない装置で、矯正歯科治療
リンガルブラケット矯正装置を付けた状態
1988年頃から、リンガルブラケット矯正装置を使用した舌側矯正(歯の裏側に矯正装置をつける)を行っています。
このような治療法による矯正治療を希望されてく遠方からも多くの成人、特に女性の患者様が通院されています。
もちろん、前から見える唇側の装置による従来の矯正治療と比べても、変わらない期間で治療を行っています。
従来のリンガルブラケット矯正装置
薄く小さい現在のリンガルブラケット矯正装置
現在の舌側矯正のブラケットはここでご紹介するように薄く小さなものになっており、過去の舌側矯正で欠点となっておりました舌感や咀嚼・発音の違和感が大きく改善されております。
※舌側矯正のデメリットについて
個人差がございますが、下記のようなデメリットもございます。
・表側の矯正装置に比べて、舌に擦れやすい
・表側の矯正治療に比べて、治療費用が高額
・発音に慣れるまで少し違和感がある
リンガルブラケット矯正装置(ALIAS)

リンガルブラケット矯正装置(ALIAS)は日本の竹元先生とイタリアのDr.Scuzzoが共同開発したオームコの超小型のリンガルブラット矯正装置です。
従来長方形だったワイヤーを収める溝「スロット」を世界で初めて正方形の特許「スクエアスロット」にしたブラケットです。歯のねじれや傾きをコントロールできるよう工夫されています。
形状も小型化されており治療中の違和感も更に改善されています。現在、当院で使用頻度の高いリンガルブラケット矯正装置です。
リンガルブラケット矯正装置(STb)

オームコのリンガルブラケット矯正装置(STb)は各ブラケットがかなり小さく、従来のリンガルブラケットに比べ快適に治療できます。
このブラケットも竹元先生とDr.Scuzzoの手になるものです。
リンガルブラケット矯正装置(2D)

リンガルブラケット矯正装置(2D)はドイツ、フォレスタデント社のリンガルブラケット矯正装置です。
薄い物で1.3mm、厚い物でも1.6mmと、とても薄いので歯に装着していても違和感が少ないことが特長のブラケットです。
カスタムメイド型リンガルブラケット矯正装置(ハーモニー)

カスタムメイド型リンガルブラケット矯正装置(ハーモニー)はPatrick C. Curiel,が開発されたリンガルブラケット矯正装置です。
CAD/CAM を用いて一人一人の歯形に合わせて作られるブラケットは薄くて小さく、装着された患者様にも違和感が少ないものになっています。ワイヤーとブラケットの摩擦が少ない矯正装置です。
カスタムメイド型リンガルブラケット矯正装置(ハーモニー)はAMERIAN Orthodonticsその他関連会社の商標です。
※カスタムメイド型リンガルブラケット矯正装置(ハーモニー)は、完成物薬機法対象外の装置であり、医薬品副作用被害救済制度の対象外となる場合があります。
カスタムメイド型リンガルブラケット矯正装置(インコグニト)

カスタムメイド型リンガルブラケット矯正装置(インコグニト)はDr. Dirk Wiechmannが開発された、リンガルブラケット矯正装置です。
CAD/CAMを用いて製作されるブラケットは非常に薄くデザインされていて、装着される患者様にとっても快適に治療を受けていただけます。
カスタムメイド型リンガルブラケット矯正装置(インコグニト)は3Mその他関連会社の商標です。
※カスタムメイド型リンガルブラケット矯正装置(インコグニト)は、完成物薬機法対象外の装置であり、医薬品副作用被害救済制度の対象外となる場合があります。
MOUTH PIECE (マウスピース)
マウスピース型矯正装置(インビザライン)
マウスピース型矯正装置(インビザライン)
「マウスピース型矯正装置」のパイオニア企業である、米国アライン・テクノロジー社(Align Technology, Inc.)のカスタムメイドのマウスピース(アライナー)で行う矯正治療です。
透明なので付けていても目立ちにくく、人前に出るときや飲食の前には取り外すことができます。
取り外すことができるので、従来通りの歯磨きやフロスを行えることがメリットです。その反面、装着時間が短いと治療効果が得られないことや対応できないケースがあるというデメリットがあります。
マウスピース型矯正装置(インビザライン)は米国アライン・テクノロジー社の登録商標です。
※マウスピース型矯正装置(インビザライン)は、完成物薬機法対象外の装置であり、医薬品副作用被害救済制度の対象外となる場合があります。
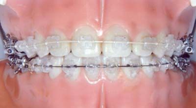
マルチブラケット装置(セラミックブラケット)
透明あるいは乳白色のマルチブラケット装置で目立ちにくい治療
上:セラミックのマルチブラケット装置と白色ワイヤー、下:セラミックのマルチブラケット装置と金属ワイヤー
唇側装置で治療希望の方は、透明あるいは歯冠色(乳白色)のマルチブラケット装置(セラミック)を使用しています。
また、希望により歯冠色(乳白色)のワイヤーを使用することで、さらに目立ちにくい治療を行なっています。
※上記でご紹介している装置は、完成物薬機法対象外の矯正歯科装置であり、医薬品副作用被害救済制度の対象外となる場合があります。
当院では、2016年に発売されたリンガルブラケット矯正装置(ALIAS) を採用しております。